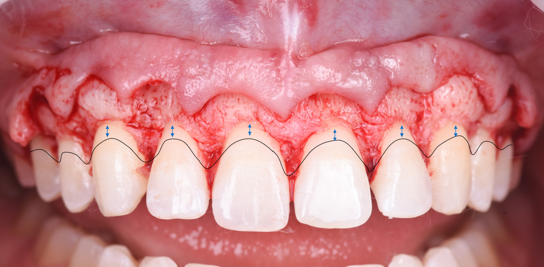
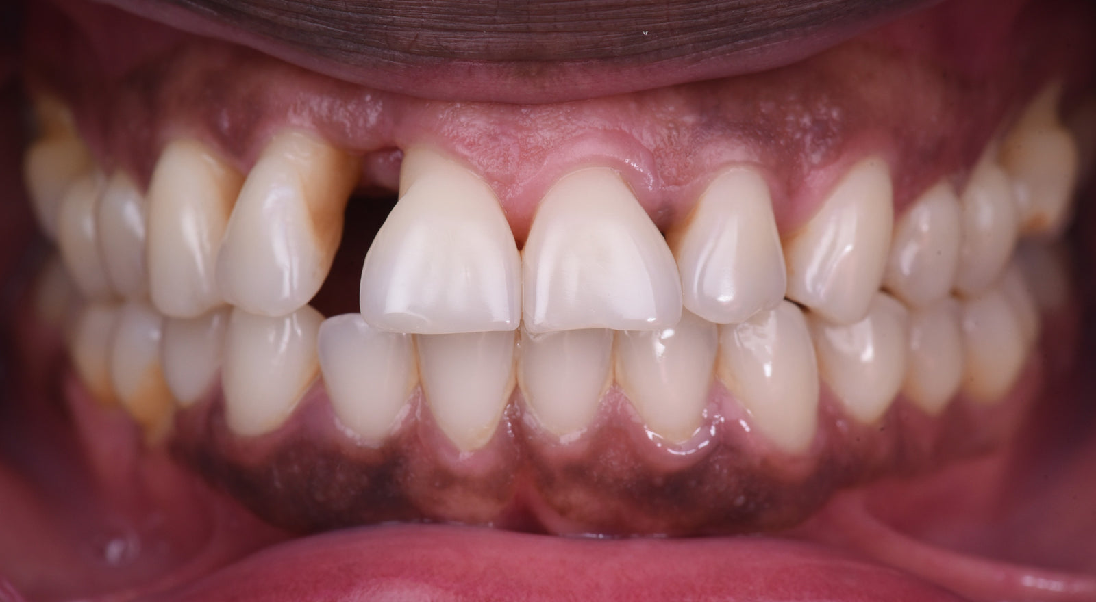
Clinical Case Review
Member-Exclusive Clinical Case Reviews
Updated with comprehensive treatment planning strategies and step-by-step clinical procedures for implant, cosmetic restorative, and lab & digital design cases.
Full Case Available to ECDA Members

